The Link Between Dental Health and Sleeping Patterns

Good dental health is crucial not only for maintaining a great smile but also for overall well-being. Interestingly, it also plays a significant role in the quality of sleep a person gets. Disorders such as sleep apnea and bruxism (teeth grinding) are not just nuisances that disrupt your night – they can have profound effects on your oral health and are conditions that your dentist can help diagnose and manage.

The Hidden Dangers of Sleep Apnea

Sleep apnea is a sleep disorder that involves repeated stopping and starting of breathing during sleep. This condition not only leads to poor sleep quality but also has several implications for oral health. For instance, individuals with sleep apnea may experience higher rates of gum disease, as sleep disruption can contribute to an inflammatory response in the body.

People with sleep apnea are also more likely to suffer from dry mouth, which can increase the risk of tooth decay and gum disease. The reason for this is that sleep apnea often leads people to breathe through their mouths, drying out protective saliva and allowing bacteria to thrive.

Dentists play a critical role in diagnosing sleep apnea. They can spot the signs during regular check-ups by noticing symptoms such as worn tooth surfaces, inflamed gums, and can even observe the anatomical features in your mouth and throat that could lead to sleep apnea.

Bruxism: More Than Just Teeth Grinding

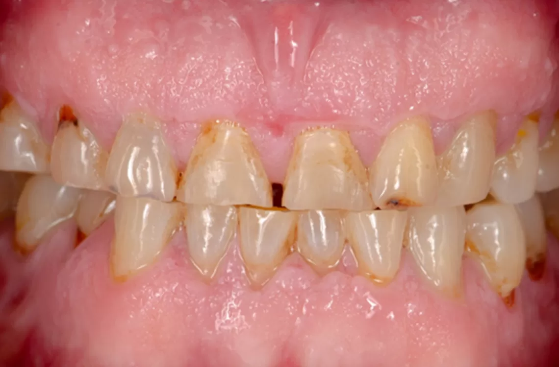
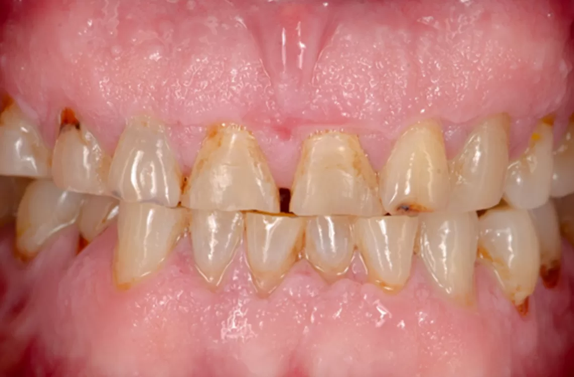
Bruxism, commonly known as teeth grinding, is another sleep-related disorder with significant dental implications. Often occurring during sleep, this condition can lead to enamel wear, increased tooth sensitivity, and even fractured teeth. Bruxism may not only disrupt sleep but also cause severe jaw pain and headaches, impacting one’s life quality.

Dentists can identify signs of bruxism during routine dental exams and provide solutions such as custom night guards that protect the teeth from grinding. Moreover, addressing bruxism can often alleviate some of the discomforts or pain associated with this condition, potentially leading to better sleep.

The Role Dentists in Managing Sleep Disorders

Dentists are at the forefront of detecting and managing conditions like sleep apnea and bruxism. Through comprehensive dental exams, they can gather clues about your sleep health and provide interventions. For sleep apnea, dentists may collaborate with sleep specialists to provide treatments such as oral appliance therapy, which involves wearing a custom-fitted device that helps keep the airway open during sleep.

Your dental health is intricately linked to how well you sleep. Issues like sleep apnea and bruxism not only affect your oral health but your overall quality of life. Regular visits to your dentist can help you get ahead of these issues, ensuring that both your smile and your sleep are as healthy as possible. If you’re experiencing symptoms like frequent headaches, worn-out teeth, or if you feel tired after a full night’s sleep, it might be time to discuss these symptoms with your dentist.

More blog posts